視界に黒いごみ…「飛蚊症」放置してOK? “失明”につながる3つの危険症状とは【眼科医が警告】
飛蚊症を放置してはいけない理由について、眼科医が解説します。

青空や白い壁などを見たとき、視界に黒いごみのようなもの、アメーバ状のものが見えることはありませんか。視界に黒い点や糸くずのような影が見える場合、「飛蚊症(ひぶんしょう)」の可能性があります。中には加齢に伴い、影が見えるようになった人もいるようですが、この場合、どのような病気の原因が考えられるのでしょうか。眼科を受診する目安について、いわみ眼科(兵庫県芦屋市)理事長で眼科医の岩見久司さんに聞きました。
目の急な変化は要注意
Q.視界に黒いごみのようなもの、アメーバ状のものなどが見えることがあります。こうした現象はなぜ起きるのでしょうか。何らかの病気の可能性はありますか。
岩見さん「目の中はカメラのような構造をしており、光を感じる部分を『網膜』といいます。その手前には『硝子体(しょうしたい)』というゼリー状の透明な組織が詰まっています。この硝子体に濁りやしわができると、それが網膜に影として映り、黒いごみやアメーバ状の影として見えるようになります。これが飛蚊症の正体です。
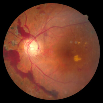
原因としては大きく2つあります。1つは加齢による生理的な変化で、硝子体が縮んで網膜から離れる『後部硝子体剥離』によるものです。これは多くの場合、心配のない変化です。
もう1つは病気によるもので、網膜に穴が開く『網膜裂孔』、出血による『硝子体出血』、網膜剥離、目の中の炎症などがあります。特に影が急に増えた場合は、こうした病気の可能性があるため注意が必要です。
強い近視の人は飛蚊症が早くから出るケースがあります。近視の目の場合、眼球が前後に引き伸ばされているため、硝子体の変化が早く起こりやすく、若い年代でも症状が出やすいという特徴があります。最近では30代後半の人の2割が強度近視になっているというデータもあり、注意が必要な人が急激に増えています」
Q.もし飛蚊症になったら、どのように対処すればよいのでしょうか。放置すると、どのようなリスクがありますか。
岩見さん「飛蚊症が出た場合、自分で原因を判断することはできず、『加齢のせい』と自己判断するのは危険です。必ず一度は眼科を受診し、網膜に異常がないか確認することが重要です。
多くは加齢によるもので問題ありませんが、まれに網膜裂孔や網膜剥離といった重い病気が隠れていることがあります。これらは放置すると視力低下や失明につながる可能性があります。早急な受診が必要な症状は次の通りです」
【早急な受診が必要なケース】
・急に影の数が増えた
・暗い場所でもピカッと光が走る(光視症)
・視界の一部が欠ける
また、飛蚊症が出た後も数カ月程度は、影の数が増えていないか注意して観察することが大切です。特に強い近視の人は網膜剥離のリスクが高いため、より慎重な経過観察が必要です。
Q.飛蚊症を治療する方法はあるのでしょうか。
岩見さん「飛蚊症の正体は、硝子体の濁りやしわによる『影』です。そのため、この影を完全に取り除くことは容易ではありません。
日常生活では、サングラスや帽子などで光の量を調整することで、症状が気になりにくくなることがあります。一部ではレーザーで硝子体の濁りを分散させる治療もありますが、網膜への影響のリスクもあるため、適応については慎重な判断が必要です。
重要なのは、飛蚊症の原因に病気がある場合です。網膜裂孔などが見つかった場合には、レーザー治療などで進行を防ぐ必要があります。まずは原因を見極めることが最優先です」
Q.飛蚊症を予防する方法はありますか。
岩見さん「加齢による飛蚊症そのものを予防することはできません。しかし、近年増えている『近視に関連する飛蚊症』については、予防の可能性があります。特に強い近視の人では、若い年代でも飛蚊症が出やすく、症状も強く出る傾向があります。
近視の進行には、子どもの頃の生活習慣が大きく関係しています。スマホやゲーム機の操作などで近くを見る作業が増え、屋外活動が減ることが近視の進行因子とされています。将来的なリスクを下げるためには、『屋外で過ごす時間を増やす(目安として1日2時間程度)』『近くを見る作業を小まめに休憩する』といった習慣が重要です。
飛蚊症は完全に防げるものではありませんが、近視の進行を抑えることで、将来的な目のトラブルを減らすことにつながります」
(オトナンサー編集部)












コメント