子どもが3歳過ぎても指しゃぶり…「前歯」で物がかみ切れなくなるリスク 歯科医師に聞くかみ合わせへの影響&矯正法
上の歯と下の歯の間に隙間が生じる「開咬(かいこう)」(オープンバイト)の原因や治療法などについて、歯科医師に聞きました。

8月8日は「歯並びの日」です。正しい矯正歯科治療の普及を目指し、公益社団法人日本臨床矯正歯科医会(東京都豊島区)が制定しました。
上下の歯をかみ合わせたときに、人によっては上の歯と下の歯の間に隙間が生じていることがあります。こうした症状は「開咬(かいこう)」(オープンバイト)といわれており、子どもの頃の癖や生活習慣が原因で発症することもあるといわれています。SNS上では「開咬を治したい」「開咬で、前歯で物がかめない」などの声が上がっており、悩んでいる人は多いようです。
開咬の原因やかみ合わせへの影響、開咬の治療法などについて、千葉センシティ矯正歯科(千葉市中央区)院長で歯科医師の石川宗理さんに聞きました。
12歳から14歳の成長期に「開咬」の発現率が再び上昇
Q.「開咬」になる原因について、教えてください。
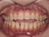
石川さん「そもそも開咬とは、上下の歯をかみ合わせたときに、上の歯と下の歯の間に隙間ができる状態のことを指します。特に前歯がかみ合わないタイプを『前歯部開咬(ぜんしぶかいこう)』といい、一般的に開咬といえばこの状態を指すことがほとんどです。奥歯はかんでいるのに、上と下の前歯が閉じられなくなる状態だとイメージすると分かりやすいかと思います。
奥歯がかみ合わない『側方開咬』もありますが、今回は前歯部開咬に焦点を当てて説明します。前歯部開咬の主な原因は次の3点です」
(1)口の癖や舌の動きなどの機能的要因や形態的要因
開咬の最も多い原因として、「口腔習癖(こうくうしゅうへき)」が挙げられます。これは日常生活で無意識に行っている舌や唇などの動きの癖を指します。例えば、下記の3点が該当します。
・3歳以降も指しゃぶりが長期間続く(吸指癖)
・舌を歯の間に入れて物を食べたり、しゃべったりする癖がある(舌突出癖)
・唇をかむ癖や唇を吸う癖がある(咬唇癖、吸唇癖)
また舌自体が大きい「巨舌」という舌の形態的な問題が原因となるケースも報告されています。こうした癖は特に子どもに多く見られ、歯の正常な生え方を妨げたり、前歯に持続的な力が加わることで、上下の前歯がかみ合わなくなったりする原因になります。
早期に対応すれば自然に改善するケースもありますが、癖が長く続くと、骨格的な原因にも影響し、より複雑な開咬へと進行することもあるため注意が必要です。
(2)顎の骨の発育や体質などの骨格的要因
骨の成長パターンや体質による「骨格性の開咬」があります。上顎、下顎の骨の発育バランスによって生じ、下顎の骨が後方または下方へ成長することによって骨格的に前歯がかまなくなることがあります。
このような骨格性の開咬は、家族にも同じような顔立ちやかみ合わせの傾向が見られることが多く、遺伝的要因の関与が強いとされています。しかし、先述の機能的な要因が成長期に改善しなかった場合、この骨格性の開咬につながることがあるため、注意が必要です。
(3)顎関節の病気によるもの(進行性下顎頭吸収:PCR)
とてもまれな例ですが、成長期後に開咬が発症した場合に注意すべきなのが、顎関節の骨が吸収されてしまう病気、いわゆる「進行性下顎頭吸収(PCR)」です。この疾患では、下顎の関節部分(下顎頭)が徐々に小さくなり、下顎全体が後ろへ引かれることで、前歯が開いてしまうことがあります。
このほか、細かいレベルでの原因としては、奥歯の不適切な治療や顎関節症、歯周病、鼻咽腔(びいんくう)疾患などの問題が開咬を引き起こすことも考えられます。
Q.「開咬」は子どもがなりやすいのでしょうか。それとも、大人もなりやすい病気なのでしょうか。
石川さん「日本における疫学研究によると、3歳から8歳までの開咬の発現率は6.5%程度とされています。9~11歳の間だと、発現率が3%程度にまで下がります。ところが、思春期に差し掛かる12歳から14歳ごろになると、開咬の発現率が約6.7%に上昇するという報告があります。
発現率が12~14歳で上昇する理由としては、口の癖だけでなく、成長期に至り、顎の骨の成長バランスに関連する骨格的な要因が関わってくるケースが多くなることが考えられます。
大人になってからの開咬の発現率については国内で明確なデータはありませんが、12~14歳における発現率からの推移として、矯正による減少、先述の細かいレベルでの原因とPCRによる発現率の増加があると考えられます」
Q.「開咬」になった場合、日常生活でどのようなデメリットが生じる可能性があるのでしょうか。
石川さん「主に次の5つのデメリットが生じます」
(1)食べ物がうまくかみ切れない
前歯が当たらないことで、サンドイッチや麺類、野菜などを前歯でうまくかみ切れなくなります。さらにかむ力が奥歯に偏ると、かみ合わせが不安定になり、食事そのものが負担になることもあります。
(2)発音が不明瞭になりやすい
開咬があると、空気が歯のすき間から漏れて「サ行」や「タ行」などが発音しづらくなることがあります。ときに「舌足らず」な発音に聞こえてしまい、人前で話すことに自信が持てなくなることもあります。
(3)口元の見た目に影響が出る
上下の前歯がかみ合わないと、唇が閉じにくくなったり、口がぽかんと開いたままになったりすることがあります。無理に口を閉じようとして、口元の筋肉が緊張して見えることもあり、表情に変化が現れます。また、笑ったときに上下前歯に隙間ができるため、笑顔の印象にも影響します。
(4)顎や歯に負担がかかる
かむ力が一部の歯に集中しやすくなるため、奥歯がすり減ったり、場合によっては歯が割れたりすることがあります。また顎の関節に余計な負担がかかることがあります。場合によっては、顎関節症といったトラブルを引き起こすこともあります。
(5)治療が複雑になることがある
開咬の治療は、歯の位置だけでなく顎の骨や関節の状態によっては、難しいケースもあります。治療後に元に戻ってしまう(後戻り)こともあるため、しっかりとした診断と計画的な治療が必要です。
Q.「開咬」になった場合、どのような方法で治療を行うのでしょうか。自然に治ることはありますか。
石川さん「次の3つのアプローチ方法があります」
(1)習慣や癖へのアプローチ
「指しゃぶり」や「舌を前に出す癖」などが原因で起きる開咬は口腔筋機能療法(MFT)と呼ばれる、舌や唇の正しい使い方を身に付けるためのトレーニングや、「タングクリブ」という舌の動きをコントロールするための矯正装置で改善できることがあります。
早期に対応すれば自然に治ることもあるため、特に指しゃぶりをする子どもや、舌を前に出す癖がある子どもがいる場合は歯科医師に早めに相談するのが大切です。
(2)主に歯が原因で開咬となっている場合のアプローチ
(1)のアプローチを併用しながらワイヤによる矯正治療、マウスピース型矯正装置などを用いた本格的な矯正単体で治療を行います。
(3)骨格が原因で開咬となっている場合のアプローチ
顎の骨の成長バランスに問題がある場合は、先述の本格的な矯正治療や、場合によっては外科的な処置が必要になることがあります。外科的矯正治療とは、顎の骨の位置を整える手術と矯正を組み合わせる治療法で、顎口腔機能診断施設で治療を受けると保険が適用される場合もあります。骨格性の開咬は自然には治りにくく、専門的な診断と治療計画が必要です。
Q.「開咬」を防ぐにはどうすればよいのでしょうか。予防法について、教えてください。
石川さん「開咬を防ぐためには、日頃の癖や生活習慣といった機能的な問題を改善していくことが最良だと考えられます。3歳以降の指しゃぶりの改善や、正しい舌の使い方などをトレーニングすることが、予防としては最適です」
(オトナンサー編集部)








コメント