1 2

大木烈(おおき・れつ)
歯科医師、歯学博士
昭和大学歯学部卒業。2020年12月に五反田駅前歯医者を開院。2021年6月より、昭和大学歯科病院高齢者歯科学講座兼任講師。子どもから大人まで、歯のお悩みを全てケアする総合歯科医。仕事の流儀は「努力を惜しまず日々研さん。患者さまに提供する治療の選択肢を多く持ち、よりよい結果に導けるようにすること」。五反田駅前歯医者(https://gotanda-dc.jp)。
大木烈(おおき・れつ) 関連記事
編集部おすすめ記事
-
便秘解消に効果的だけど…「カボチャ」食べ過ぎが招くまさかの症状とは 摂取時に注意すべき人の特徴
-
肩こり&腰痛がひどい時の「マッサージチェア」 実は“危険”? 専門家に聞いたメリットと注意点
-
「花粉症薬を飲んで運転」は飲酒運転並みに危険? 薬剤師が警鐘鳴らす副作用の正体とは
-
二日酔いは「飲む前」に決まる? 翌朝の頭痛&吐き気を防ぐ“意外な食べ物”とは【医師解説】
-
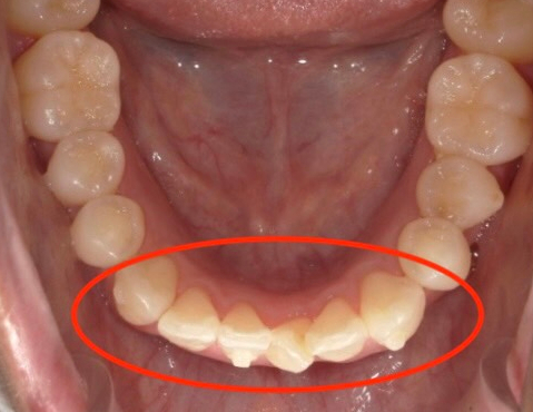
口元が突き出る「口ゴボ」 “口呼吸”が顔立ちを変えてしまう? 放置NGの“リスク”を歯科医師が解説
-
愛猫と寝たいけれどぐっすり眠れない…睡眠のプロが教える、質を下げないための“3つの条件”とは
-
妊婦が「重い物」を持ってしまった…どうなる? 産婦人科医が教えるリスクと“うっかり時”の対処法
-
【長ネギ】「風邪に効く」は根拠なし? 食べ過ぎの意外なリスク&注意すべき人の特徴とは
-
【健康診断】タトゥーで「MRI検査」が受けられない? 医師が説く5つの医療リスク&注意点とは
-
肥満の原因は「ゆがみ」かも? 鏡を見るだけで分かる“セルフ診断術”
-
食後の猛烈な眠気…実は隠れ高血糖? 「健診で異常なし」でも油断できない理由とは【糖尿病専門医に聞く】
-
花粉症だと思ったら風邪? 放置すると悪化のリスクも 見分けのために注目すべき4つのチェック項目とは【医師解説】
-
眠くなると「鼻水」出るのは病気? 症状気になる時に効果的な5つの“取り組み”とは
-
【健康診断】採血した血液が黒い…もしかして恐ろしい病気が潜んでいる? 原因を内科医に聞いてみた
-
旬の「初ガツオ」って貧血&疲労対策に効果的? 医師が教える“鉄分吸収を高める”食べ合わせ
-
冬だけじゃない…春も注意したい「ノロウイルス」 見落としがちな4つの盲点&予防法とは【医師が解説】
ライフ 最新記事
-
「半年以内の退職」は致命傷? マナーのプロが教える、面接で“こらえ性がない”と思われないために守るべき3つの鉄則
-
「送料無料」はもう限界か…中東情勢×物流2026年問題のダブルパンチで「ネット通販」はどうなる?【専門家が解説】
-
疲れ取れない、口内炎…春の不調、実はビタミン不足が原因? サプリより効率的な「便利食材」とは【管理栄養士に聞く】
-
美容医療の「今日だけ割引」に潜むワナ 断れない空気を作る“即決”の心理トリックとは【元刑事が警鐘】
-
糖質制限はもう古い? 肌ボロボロ、生理不順を招く「痩せすぎ」のワナ “食べて整える”逆転のダイエット術
-
「お母さん、どこニャ…」保護されたばかりの赤ちゃん猫が切なカワイイ…「胸が締め付けられる…」視聴者が思わずエール
-
なぜあなたの仕事は楽にならないのか…AIサービス「Claude Code」ブームに潜む甘いワナ
-
通常級で刺激を受けて伸びるという幻想、障害児にとって「支援学校=自立できない」は誤解? “受け身”になるリスク
-
イメージしていたのと違う…ショートヘアにして後悔、なぜ起きる? 失敗しない方法を美容師が解説
-
「子連れお断り」は差別か、権利か SNSで議論呼ぶ“入店禁止”の飲食店、客側が知っておくべき「店側の事情」
-
ポイ活疲れを卒業 ネット通販のプロが教える「最小限の努力で最大還元」受ける“買い物術
-
“野菜成分入り菓子&ジュース”は野菜を食べたことになる? 管理栄養士に聞いて分かった“納得”の結果
-
【自転車の青切符】「手信号」しないと“反則金”科されるって本当? 片手運転との境界線とは
-
4月の「使い過ぎ」を5月へ持ち越さない! 新年度の家計を黒字化する”3つの緊急仕分け術”とは【節約のプロが解説】
-
「甘い物」食べ過ぎが“栄養不足“を招く!? イライラ&だるさの原因とは【管理栄養士が解説】

コメント